The White Excel® professional whitening program

Laser teeth whitening
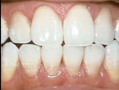
This system, the latest generation, is reliable and fully safe. The treatment is relatively short and with quite impressive long lasting results. Whitening System is quick, effective and gently delivers a naturally brilliant smile. The whitening procedure last for as little as 1 hour, which can yield a brilliant and healthy smile that will last for years.

BEFORE

AFTER